June 7, 2021
Smile Gallery
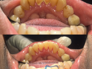
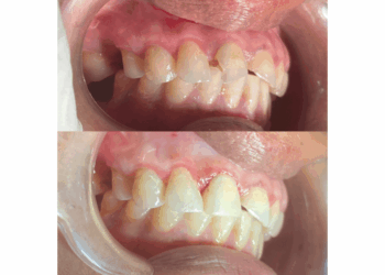
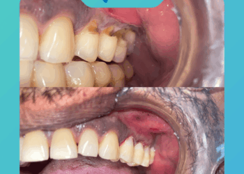
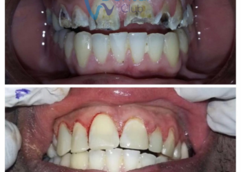
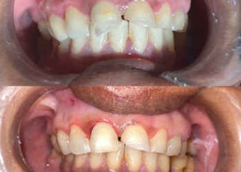
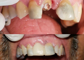
Welcome to our Smile Gallery, where you can see real examples of how we’ve transformed our patients’ smiles. From simple teeth whitening to full smile makeovers, we are proud to show you the results of our expert care. At My Dental Club, we specialize in cosmetic dental treatments that create beautiful, lasting smiles.
We understand that a smile is an important part of your confidence and self-esteem. That’s why we offer a variety of services, including teeth whitening, veneers, and Invisalign, to help you achieve the smile you’ve always wanted. No matter what your dental needs are, our team uses the latest technology and techniques to give you the best possible results.
In our Smile Gallery, you’ll find before-and-after photos of real patients who have experienced these treatments. These photos give you a clear view of the changes you can expect when you choose My Dental Club for your cosmetic dental needs. We believe every patient deserves to feel proud of their smile, and we are honored to be part of these amazing transformations.
Each smile in our gallery tells a story of personal change and renewed confidence. We are excited to help you on your journey to a brighter, more beautiful smile! If you’re ready to take the next step, schedule a consultation with us today. We’ll discuss your options and create a treatment plan tailored just for you.
Check out our other services like Invisalign and teeth whitening to learn how we can help improve your smile.

























