Η εγγραφή στο καζίνο Glorion είναι απλή και γρήγορη, με άμεσες καταθέσεις και πληρωμές, προσφέροντας μια ασφαλή πλατφόρμα για να απολαύσετε όλα τα αγαπημένα σας παιχνίδια.
Η εγγραφή στο καζίνο Glorion είναι απλή και γρήγορη, με άμεσες καταθέσεις και πληρωμές, προσφέροντας μια ασφαλή πλατφόρμα για να απολαύσετε όλα τα αγαπημένα σας παιχνίδια.
Before and after smile transformation by My Dental Club TT – restoring confidence with affordable dental care in Trinidad.
This before-and-after case showcases a remarkable smile transformation completed by My Dental Club TT, a trusted Trinidad dentist providing high-quality and affordable dental care.The patient presented with misaligned and uneven teeth, affecting both function and confidence. Through expert dental treatment, including alignment correction and cosmetic enhancement, we achieved a more balanced, natural-looking smile.At My Dental Club TT, we are committed to helping patients across Trinidad and Tobago access professional, affordable dental solutions without compromising on quality. Whether you need cosmetic dentistry, teeth straightening, or general dental care, our experienced team is here to help.Looking for an affordable dentist in Trinidad? Contact My Dental Club TT today and start your smile transformation journey.
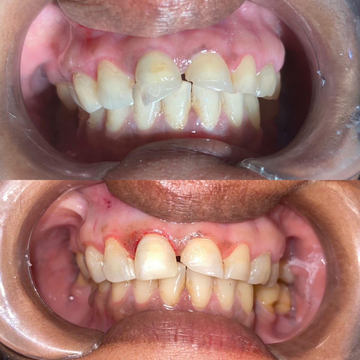
Lower teeth alignment improvement by My Dental Club TT – affordable, professional dental care in Trinidad.
This before-and-after case highlights a successful lower teeth alignment correction performed at My Dental Club TT. The patient initially presented with crowding and misalignment in the lower front teeth, along with gum irritation.Through precise and affordable dental treatment, we improved alignment, enhanced gum health, and restored a more natural, balanced appearance. The final result shows a cleaner, healthier smile with improved function.At My Dental Club TT, we are proud to provide expert dental care to patients across Trinidad and Tobago. If you’re searching for a trusted and affordable dentist in Trinidad, our team is here to help with personalized treatment plans tailored to your needs.Book your consultation today and take the first step toward a healthier smile.
Mild spacing corrected with Invisalign by My Dental Club TT – your trusted and affordable dentist in Trinidad.
This case highlights a successful Invisalign treatment for mild spacing between the front teeth, completed at My Dental Club TT.The patient initially presented with visible gaps affecting smile aesthetics. Using clear aligner therapy, we gradually closed the spaces and achieved a more aligned, natural-looking smile without the need for traditional braces.Invisalign offers a comfortable, nearly invisible solution for patients seeking discreet orthodontic treatment. At My Dental Club TT, we provide expert Invisalign care for patients across Trinidad and Tobago, helping you achieve your ideal smile with flexible and affordable options.Looking for a trusted Trinidad dentist or affordable Invisalign treatment? Contact My Dental Club TT today and start your smile transformation.
Crowding and crossbite corrected with Invisalign by My Dental Club TT – expert, affordable dental care in Trinidad.
This case demonstrates a successful Invisalign treatment for both dental crowding and crossbite correction at My Dental Club TT.The patient presented with crowded teeth and a crossbite, which can affect both appearance and bite function. Using advanced clear aligner therapy, we gradually repositioned the teeth, corrected the bite, and achieved a more balanced, functional, and aesthetically pleasing smile.Invisalign provides a discreet and comfortable solution for correcting complex alignment issues without traditional braces. At My Dental Club TT, we proudly offer high-quality and affordable orthodontic solutions to patients across Trinidad and Tobago.If you’re looking for a trusted Trinidad dentist to treat crowding, crossbite, or misalignment, contact us today to begin your smile transformation with a personalized treatment plan.
Cleaning/Prophylaxis
Cosmetic Restorations
Crowns, Bridges and Implants
No gallery layout found!
Whitening
Single Tooth Dentures
Partial Dentures
Complete Dentures
Welcome to our Smile Gallery, where you can see real examples of how we’ve transformed our patients’ smiles. From simple teeth whitening to full smile makeovers, we are proud to show you the results of our expert care. At My Dental Club, we specialize in cosmetic dental treatments that create beautiful, lasting smiles.
We understand that a smile is an important part of your confidence and self-esteem. That’s why we offer a variety of services, including teeth whitening, veneers, and Invisalign, to help you achieve the smile you’ve always wanted. No matter what your dental needs are, our team uses the latest technology and techniques to give you the best possible results.
In our Smile Gallery, you’ll find before-and-after photos of real patients who have experienced these treatments. These photos give you a clear view of the changes you can expect when you choose My Dental Club for your cosmetic dental needs. We believe every patient deserves to feel proud of their smile, and we are honored to be part of these amazing transformations.
Each smile in our gallery tells a story of personal change and renewed confidence. We are excited to help you on your journey to a brighter, more beautiful smile! If you’re ready to take the next step, schedule a consultation with us today. We’ll discuss your options and create a treatment plan tailored just for you.
Check out our other services like Invisalign and teeth whitening to learn how we can help improve your smile.